सेवा आणि FQA

पोर्सिलेन-फ्यूज-टू-मेटल मुकुट मिळविण्यासाठी कोणत्या अटी आवश्यक आहेत?

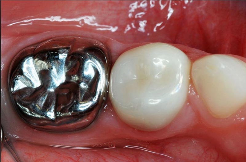
जर एखाद्याचे दात सुबक किंवा पुरेसे पांढरे नसतील तर ते सौंदर्य मिळवणा those ्यांच्या देखाव्यावर मोठ्या प्रमाणात परिणाम करेल. दातांचा सुबक आणि पांढरा सेट असणे, एक मिळवणे निवडू शकतेपोर्सिलेन-फ्यूज-टू-मेटल मुकुटसुधारण्यासाठी. पोर्सिलेन-फ्यूज-टू-मेटल मुकुट देखील दंत जीर्णोद्धार करण्याची एक पद्धत आहे आणि त्यांचा नैसर्गिक परिणाम बर्‍याच लोकांनी ओळखला आहे.

जन्मजात गरीब दात सौंदर्य प्रेमींना खूप दु: खी करतात.पोर्सिलेन-फ्यूज-टू-मेटल मुकुटदंत जीर्णोद्धाराचे पूर्वीचे प्रकार आहेत जे दंत समस्या सुधारू शकतात. तांत्रिक पातळीच्या विकासासह, पोर्सिलेन-फ्यूज्ड-टू-मेटल मुकुटांची सामग्री अधिक वैविध्यपूर्ण, मजबूत आणि अधिक सौंदर्यदृष्ट्या आनंददायक बनली आहे.


जर आपल्याला पोर्सिलेन-फ्यूज-टू-मेटल मुकुट मिळवायचे असतील तर आपण प्रथम पीरियडॉन्टल ऊतींचे आरोग्य सुनिश्चित केले पाहिजे, टार्टर जमा होण्यासारख्या कोणत्याही तोंडी संक्रमण किंवा रोगांशिवाय आणि दात संरचनेला बाह्य नुकसान न करता. मग आपण पोर्सिलेन-फ्यूज-टू-मेटल मुकुट मिळवू शकता.


पोर्सिलेन-फ्यूज्ड-टू-मेटल मुकुट प्रामुख्याने एक दात गहाळ करण्यासाठी आणि नंतरच्या दात क्षेत्रात देखील योग्य आहेत. आपण मिळवायचे असल्यासपोर्सिलेन-फ्यूज-टू-मेटल मुकुट, हे सल्ला दिला जातो की गहाळ दातांची संख्या दोन किंवा त्यापेक्षा कमी आहे.

संबंधित बातम्या
मला एक संदेश द्या
X
आम्ही तुम्हाला एक चांगला ब्राउझिंग अनुभव देण्यासाठी, साइट रहदारीचे विश्लेषण करण्यासाठी आणि सामग्री वैयक्तिकृत करण्यासाठी कुकीज वापरतो. ही साइट वापरून, तुम्ही आमच्या कुकीजच्या वापरास सहमती देता. गोपनीयता धोरण
नकार द्या स्वीकारा